
Como manejar cálculos coraliformes na prática
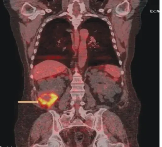
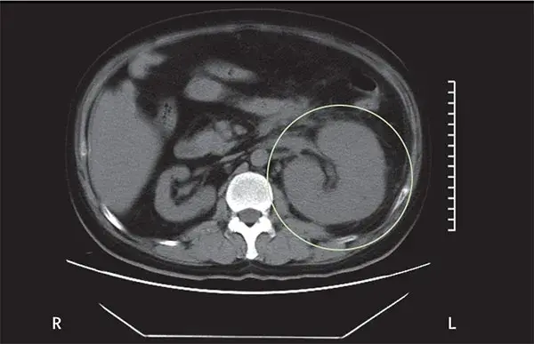
Os cálculos coraliformes são formados em sua maioria por cálculos de estruvita (fosfato amônio de magnésio) e possuem uma forte associação com infecção do trato urinário (ITU) causada por bactérias produtoras de urease. A formação desses cálculos é rápida, semanas a meses, e se não instituído tratamento adequado pode ocorrer invasão completa do sistema coletor
Valkercyo Feitosa
3 anos atrás




